Kaltwasser ist nichts für Warmduscher! Tauchen ist ein Sport, der das ganze Jahr über ausgeübt werden kann. In unseren Breiten bringt dies besondere Herausforderungen für Taucher und ihre Ausrüstung mit sich. ... weiterlesen
(Tauch-) Reisen in die Tropen
Durch Stechmücken übertragene Infektionskrankheiten sind ein hohes Risiko bei einem Tauchurlaub in den Tropen – warum? Dr. Dr. Philipp Stahl hat stichhaltige Argumente zur medizinischen Reisevorbereitung für die Tropen zusammengetragen. ... weiterlesen
Tauchen mit Rückenleiden
Die meisten Menschen haben in ihrem Leben schon einmal Rückenschmerzen gehabt und kennen das „Kreuz mit dem Kreuz“ nur allzu gut. ... weiterlesen
Tauchen mit Atemwegserkrankungen
In diesem Artikel werden die wichtigsten Fakten zur Tauchtauglichkeit sowie deren Einschränkungen bei entsprechenden Krankheitsphasen chronischer Lungenerkrankungen aufgezählt. ... weiterlesen
Inside aqua med – Ein Tag in der medizinischen Assistance
Du fragst wie das medizinische Team der Assistance von aqua med arbeitet, welche medizinischen Notfälle wie bearbeitet und gelöst werden und wie das Vorgehen im Falle eines Notfalls ist? ... weiterlesen
Tauchen mit kardiovaskulären Erkrankungen
In diesem Artikel werden die häufigsten kardiovaskulären Vorerkrankungen im Kontext der Tauchtauglichkeit strukturiert besprochen. ... weiterlesen
Tauchtauglichkeit bei Frauen
Grundsätzlich hat jede Tauchtauglichkeitsuntersuchung dieselben Grundregeln. Aber – jede „besondere Gruppe von Tauchern“ benötigt andere Fragestellungen. ... weiterlesen
Panik beim Tauchen
Angst und Panik beim Tauchen – ein Thema, mit dem nicht nur Anfänger konfrontiert sind. Wir haben euch ein paar Informationen zusammengestellt, wie sich Panik unter Wasser ... weiterlesen
Sichelzellanämie
Ein Schmankerl für tauchmedizinisch tätige Kollegen, fürsorgliche Eltern und interessierte Taucher: Sichelzellanämie und Tauchtauglichkeit ... weiterlesen
Kegelschnecken
Wegen ihrer farbenprächtigen Zeichnung und auffälligen Maserung sind Kegelschnecken beliebte Souvenirs ... weiterlesen
Sauerstoff: Medikament und Gift zugleich
Ohne Sauerstoff gibt es kein menschliches oder tierisches Leben. Die meisten Organismen, einschließlich des Menschen und der Pflanzen, und viele Bakterien, brauchen Sauerstoff ... weiterlesen
Druckausgleich ohne Druck
Bereits zum zweiten Mal war Andrea Zuccari Gastmoderator in einem unserer aqua med Webinare. Das Thema war auch dieses Mal der Druckausgleich beim Gerätetauchen. ... weiterlesen
War dies nun ein Tiefenrausch?
Die Symptome des Tiefenrausches sowie dessen Ursachen sind in der Literatur hinlänglich und schillernd beschrieben. Mancher Taucher ist neugierig wie sich das anfühlt ... weiterlesen
Immer gut Luft
Für uns Taucher ist die Lunge natürlich mit das wichtigste Organ. Daher sollte mit der ersten Tauchtauglichkeit die Lunge eines Tauchers eingehend überprüft werden. ... weiterlesen
Ratgeber Ägypten
Für jeden Taucher gibt es bestimmte Tauchziele, die einen nachhaltigen Eindruck hinterlassen. Ägypten gehört definitiv dazu. Entfernung, Wettergarantie und paradiesische Tauchplätze ... weiterlesen
Ratgeber Indonesien
Während in den Großstädten und Touristenzentren Indonesiens die medizinische Versorgung gut ist, ist sie in ländlichen Gebieten sehr einfach und auch Medikamente sind nicht immer erhältlich. ... weiterlesen
Ratgeber Malediven
Die Malediven stehen für idyllische, traumhafte, nahezu menschenleere Strände, tropisches Klima, glasklares Wasser und wohl eines der schönsten Korallenriffe der Welt ... weiterlesen
Bist Du fit zum Abtauchen?
Durch die Entwicklung des Technical Diving mit aufwendiger Tauchausrüstung und Mischgasen werden zunehmend längere Tauchzeiten und größere Tauchtiefen erreicht. ... weiterlesen
Dekompressionserkrankung
Auch wenn Tauchunfälle zum Glück sehr selten sind ist es wichtig die Zusammenhänge zu kennen, die zu ihrem Entstehen beitragen. ... weiterlesen
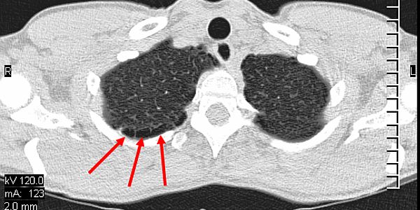
Pulmonales Barotrauma
Das Hyperbare Medical Center in Sharm el Sheikh hat über die Jahre Hunderte von Tauchunfällen behandelt; ein Pulmonales Barotrauma ... weiterlesen
Dehydratation und Tauchen
Ironischer weise neigt ein Taucher – obwohl er von einem Ozean von Wasser umgeben ist – trotzdem zum Austrocknen. ... weiterlesen
Hautverletzungen und Tauchen
Oberflächlichen Verletzungen der Haut wird oft wenig Beachtung geschenkt, sie sind jedoch eine nicht zu unterschätzende Gefahr. ... weiterlesen
Durchfallerkrankungen im Tauchurlaub
Durchfallerkrankungen, die man im Urlaub – häufig auch in Ägypten – erleidet, dauern normalerweise 2-3 Tage an; danach ... weiterlesen
Tauchen und Übergewicht
Unter Übergewicht versteht man ein Verhältnis aus Körpergewicht und Körpergröße, welches als ungesund gilt. ... weiterlesen
Bluthochdruck und Tauchen
Tauchen ist ein Breitensport und daher finden sich bei Tauchern auch alle gesundheitlichen Probleme wieder, die in der breiten Masse der Bevölkerung ebenfalls abgebildet sind. ... weiterlesen
Unscheinbare Tauchunfallfaktoren
Vielen Tauchern ist nicht bewusst, dass auch eine Kombination aus vielen Kleinigkeiten zu einem Tauchunfall/-zwischenfall führen kann. ... weiterlesen
Tollwut
Die Tollwut oder auch Wutkrankheit genannt (engl.: rabies) ist eine akute Infektion, die durch Tollwut-Viren (Rabies-Viren) aus der Familie der Rhabdoviridae übertragen wird ... weiterlesen